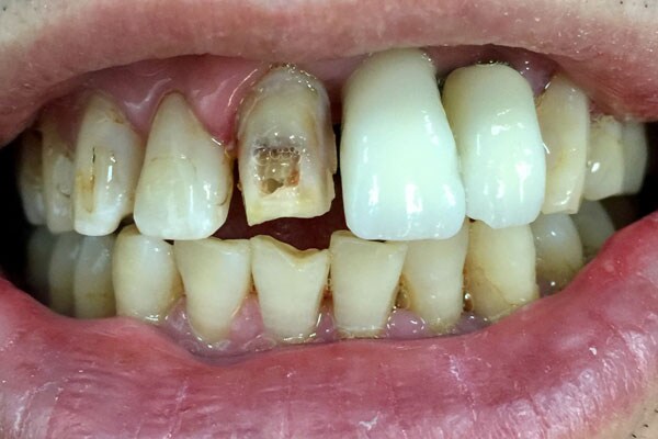
私の治療に使われる機器もドイツ製の最新鋭機器「セレックシステム」だ。3D光学カメラで患部を撮影し、コンピューター上で3Dモデルを制作。そのデータを元にミリングマシンが修復物を作ってくれる。わざわざ歯型を取る必要はない。

この説明が分からないという人もいるかと思うが、安心してほしい。私もよく分かっていない。だが病院内に並ぶ最新鋭機器、そしてチャッチャッチャッと進んでいく治療工程に度肝を抜かれた。
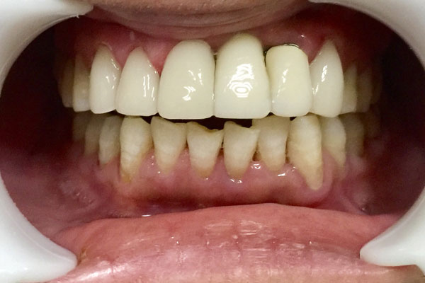
ほぼ丸1日掛けた治療が終わると、私の歯は神々しいばかりの白さになっていた。実は前から2本だけ差し歯を使っていたのだが、新たに治療した部分も前の差し歯と同じ色になるよう調整してくれていて、全く違和感がない。また治療後の腫れもなく、治療の2日後には中国のネット番組に出演することができた。いやはや、中国の片田舎にこれほどの病院があろうとは!


近年、中国経済の成長、とりわけ質の向上が著しい。中国をよく知るビジネスマンから「日本は全ての産業分野で敗北してしまうのではないか」との愚痴をよく聞く。私はもう少し楽観的だ。日本には素晴らしい人材、素晴らしい技術、素晴らしい文化がある。アグレッシブに攻める気持ちさえ失わなければ、十分競争力を保てると思っている。
だが、今回の「逆メディカルツーリズム」で彼らの心配もよく理解できた。中国には金があり、設備投資・技術投資も旺盛だ。田舎ですらこれほどハイレベルな病院があるのだから、都会の大病院の能力は推して知るべきだろう。
日本と中国はライバルではあるが、同時に相補的関係にある。お互いの足りないものを補い合ってウィンウィンの関係が築けるはずだ。しかし、中国に何が足りないのかを知らなければ、補い合うこともできない。急激に変化し成長する中国の今を知ることが必要不可欠だ。
「元・中国人、現・日本人」の私も、真っ白い歯をきらめかせながら、知りうるすべての情報をこのコラムを通じて日本の読者の皆さんに伝えていきたい。
【お知らせ】ニューズウィーク日本版メルマガのご登録を!
気になる北朝鮮問題の動向から英国ロイヤルファミリーの話題まで、世界の動きを
ウイークデーの朝にお届けします。
ご登録(無料)はこちらから=>>