<子どもの頃に手術で脳の半分を切除した6人が、回復して普通に話したり歩いたりできる理由は>

子どもの頃に脳の半分を失った成人6人を調べたところ、彼らの脳の神経回路の結合強度は健康な一般人と変わらないどころか、一般人より「著しく」強い場合さえあることが分かった。

学術雑誌セル・リポーツに発表された論文によれば、脳は大掛かりな手術に順応し、脳が半分になる前と同じように体を動かし、機能させ、目的を達成できるよう自らを再編できる。

「脳はどうにかして、残された神経回路を使って、手術で失われた領域の機能を補っている」と、論文を読んだブラウン大学カーニー脳科学研究所のワエル・アサード准教授(神経科学)は言う。

「子どもの脳は一般に、大人よりも再編しやすい(神経可逆性がある)ことが分かっている。その再編のひとつの形が神経回路の結合の強化だったことは、興味深い」

<参考記事>ハワイで旅行者がヒトの脳に寄生する寄生虫にあいついで感染

「実際に会うと脳が半分だなんて信じられない」

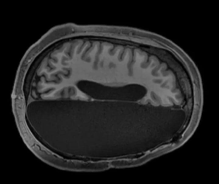
研究に協力した6人は子どもの頃にてんかんを患い、重度の発作が起きないようにするため脳の半分を切除する手術(大脳半球切除手術)を受けた。つまり脳の半分しか残っていないのだが、それでも言語能力に問題はなく、心身ともに高い機能を維持している。健康情報サイトのWeb MDによれば、「(この手術を受けた)多くの人が、特に問題もなく術後6~8週間で仕事や学校、普段の生活に戻ることが可能」だという。

論文の筆頭著者で、カリフォルニア工科大学の博士課程を修了したドーリット・クリーマンは声明の中で、「初めて彼らに会った時は、脳が半分ないことを忘れそうになった」と述べた。

「コンピューターの前で、脳が半分しかないMRI画像を見ても、今さっき話をしたり歩いたりしていた人たちのものとは信じられなかった」

研究チームは6人の協力者のMRI画像を健康な6人の画像と比較。さらに一般人1500人の脳データとも比較した。

さらに視覚、運動、感情や認知などの機能をつかさどる脳の領域の活動を分析。ここから脳の神経回路の結合状態を、間接的に測定した。

<参考記事>意識がある? 培養された「ミニ脳」はすでに倫理の境界線を超えた 科学者が警告

<参考記事>深い眠りによって脳内の老廃物が洗い流されていることがわかった:研究結果

逆に小さな損傷で死ぬことも